






成人の方は勿論、お子様までベテラン歯科医師が治療。
通常の矯正から目立たない矯正や審美矯正など
100年以上の歴史を持つ専門技術で、誠実丁寧な
本当にご満足いただける矯正歯科治療をご提供いたします
知多市 新舞子駅から車で3分(駐車場10台あり)
大野町駅から徒歩5分と通いやすいロケーションです
矯正相談と治療で 多数の患者様がご来院されています
知多 矯正歯科治療相談室(久野歯科医院運営)は、歯並び・歯科矯正のお悩みを解消する
矯正治療に関する情報提供を目的とし、患者様のお役に立つ様々な歯科情報を発信。
「あの時に勇気を出して、 やってみて良かったです!」と思っていただける矯正治療の
一助となりたい想いで、矯正歯科歴30年以上の歯科医師である院長がご相談に乗っています。
「実際に矯正治療を始めたい」といった場合も、患者様からのご相談・ご希望を考慮した
丁寧且つ できるだけ後戻りの少ない治療に努めております。
見た目は勿論、機能面でも快適で美しい歯並びを得られますよう
豊富な知識と高い治療技術で、治療を致します。

患者様に本当にご安心できる矯正歯科治療を
ご提供できますよう、様々な取り組み・特徴がございます。

“仕上げに自信がある”からこそ
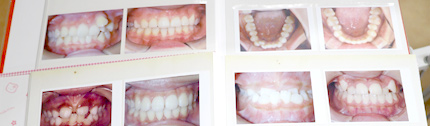
HP上に多数の治療例を公開
豊富な実例と経験に基づく治療です


“見た目の美しさ”と共に
“機能面”にもこだわった矯正歯科治療
後戻りが少ないのも大きな特徴


痛みを抑えた治療を重視。
遠方地域からもご来院されています
知多市以外の患者様も多数通院中


治療開始前にお渡しする『治療計画書』に
記入した金額以外に追加費用は無し
「後から追加治療費が…」の心配は不要です


“装置を装着した際の違和感が極力ないよう”
注力・配慮いたします
治療ストレスを軽減する事に努めております


従来のワイヤーの矯正に抵抗のある方へ
お勧めの“目立たない矯正装置”に対応
マウスピース矯正は大変人気の治療です


矯正治療によって歯並びを良くすると同時に
上下2万円の特別割引で白く美しい歯に
色合いと歯並びが改善し、より自信が持てます


「自分もHPのような綺麗な歯並びに本当になれるかな…」
「どれぐらいの費用・期間で綺麗な口元になるのか?」
「矯正治療にも種類があるけど、どれが良いかな…」
疑問やお悩みをまずは歯並びのプロへご相談ください!
丁寧に親身になり、ご相談にのります。
書籍やインターネット上の情報では解決しなかったお悩みや疑問が
専門の矯正歯科医へとご相談することで、きっとクリアになります!

主に上記7項目の流れとなりますが、各フェーズにおいて当歯科医院では
適切で不備のない処置は勿論、患者様への現状に関する丁寧な説明そして
患者様のご理解とご納得の面に配慮しています。
治療に対する不安・疑問があっては良い歯科治療はできないと考えます。
患者様に納得した治療を受けていただけるよう、お一人ひとりに
充分な時間をかけて 適切な治療を行います。
最先端の治療技術とクリーンな診療環境にて、
質の高い矯正歯科治療をいたします。
主に上記7項目の流れとなりますが、各フェーズにおいて当歯科医院では
適切で不備のない処置は勿論、患者様への現状に関する丁寧な説明そして
患者様のご理解とご納得の面に配慮しています。
治療に対する不安・疑問があっては良い歯科治療はできないと考えます。

矯正歯科治療を行う期間は、歯やお口の状態と治療を行う内容によって
異なりますが、2年から3年となります。他の一般的な歯科治療よりも
長期的な治療となりますため、“ストレスなく治療を継続できること”が
重要です。治療中の痛み/違和感を軽減できますよう努めております。
矯正歯科治療を行う期間は、歯やお口の状態と治療を行う内容によって
異なりますが、2年から3年となります。他の一般的な歯科治療よりも
長期的な治療となりますため、“ストレスなく治療を継続できること”が
重要です。治療中の痛み/違和感を軽減できますよう努めております。
|
従来のレントゲン診査では得られにくかった 「親知らずの位置を立体的に把握」「血管や神経の重なりの程度や有無が確認可能に」 また歯科で使用されるコーンビームCTは、医科用CTに比べはるかに被ばく量が少なく、 |
![]() ![]() |


久野歯科医院 院長は地元知多市、常滑市にて30年以上 数多くの患者様の矯正歯科治療を行ってまいりました。
その治療経験の中で培ってきた歯科治療についての専門知識や学びとなった経験/症例、知多地域に関する思い出などを
インタビュー形式でご紹介しています。当院の歯科医療に対する想いに関しましてもご覧いただければ幸いです。